超低分子量蛋白Marker V(3.5-42
kD)(非預染)
Ultra Low Molecular Weight Protein Marker V(3.5-42 kD)
Ver.
750271-2.0
RTD6113 20次(100 μl)
● 貯存、運輸及效期:
-20℃保存;濕冰運輸;有效期1年。
● 貯存緩沖液成分:
65 mM Tris-HCl (pH 7.0), 20%
Glycerol, 還原劑, 2% SDS, 0.005% 溴酚藍。
● 產品簡介:
本產品包含8種低分子量蛋白質,分子量范圍為3.5-42 kD,通過 Tris-Tricine-SDS-PAGE電泳并經考馬斯亮藍染色后可見分子量大小為3.5,4.5,8.5,14.4,17,21,30,42
kD的條帶。
以每次上樣5 μl計算,該產品可以使用20次。
|
技術規格
|
|
條帶數量
|
8條
|
|
濃度
|
0.1-0.3 μg/μl
|
|
上樣前處理
|
95-100℃加熱處理5
min
|
|
推薦凝膠體系
|
16.5%或18%Tris-Tricine-SDS-PAGE
|
|
推薦上樣體積
|
3-5 μl(1mm厚度10齒梳子)
|
|
推薦染色方法
|
非預染Marker,電泳時不可見條帶,電泳后需要考馬斯亮藍染色可以觀察條帶
|
|
不適用于非變性電泳
|
為變性Marker,不適用于非變性電泳
|

● 使用說明:
1. 第一次收到該產品,常溫融化后,徹底混勻,離心快甩10
Sec將溶液完全收集到管底,-20℃貯存;
2. 使用該產品時,常溫解凍后輕輕混勻或用移液槍緩慢吹打均勻;
3. 從原液中吸取所需的上樣量至新的微量離心管中;
4. 95-100°C下加熱
5 min,使蛋白質完全變性;
5. 低速離心快甩10 Sec后,取 3-5 μl上樣電泳;
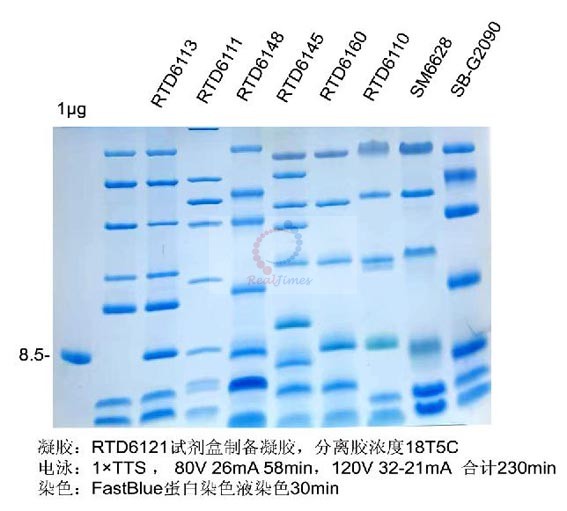
一. 制膠:
多肽電泳建議使用Tris-Tricine-SDS-PAGE系統來分離蛋白,該系統可以分離1-100 kD的蛋白質(最優分離2.5-30 kD)。客戶可以使用Tris-Tricine-SDS-PAGE凝膠快速制備及電泳試劑盒
(含預染Marker)(貨號:RTD6121)或Tris-Tricine-PAGE凝膠制備及電泳試劑盒(多肽變性電泳)(貨號:RTD6122)進行Tricine電泳,方便快捷。或者根據以下程序制備凝膠,先配制分離膠,聚合后再配制夾層膠,最后配制濃縮膠,3種膠的制膠體積比約為4.5:1.5:1.5。
1.1 配制分離膠:
1.1.1 按照表一將不同體積的分離膠組份加入到小燒杯中混合。
表一
(一塊1 mm 厚度小板膠用量)
|
|
分離膠
|
夾層膠
|
濃縮膠
|
|
|
16.5%T6%C/4.5
ml
|
10%T3%C/2
ml
|
5%T3%C/2
ml
|
|
49.5%T
3%C
|
/
|
0.4
ml
|
0.2
ml
|
|
49.5%T
6%C
|
1.5
ml
|
/
|
/
|
|
4×凝膠緩沖液
|
1.125
ml
|
0.5
ml
|
0.5
ml
|
|
50%甘油(v/v)
|
0.9
ml
|
-
|
-
|
|
蒸餾水
|
0.95
ml
|
1.1
ml
|
1.3
ml
|
|
10%APS
|
~45
μl
|
~20
μl
|
~20
μl
|
|
TEMED
|
~4.5
μl
|
~2
μl
|
~2
μl
|
注:如非必須,不要使用1.5mm厚度的凝膠,這樣會減少電泳后染色和脫色的時間。
1.1.2 加入10%APS和TEMED,立即混勻以使溶液混勻。
1.1.3 在玻璃板中灌入分離膠溶液,然后輕輕覆蓋一層1-3 cm的無水乙醇,使凝膠表面保持平整。
1.1.4 靜置10-20分鐘,待分離膠和乙醇層之間出現一個清晰的界面表示凝膠已聚合。
注:凝膠的聚合時間與環境溫度有關。夏天溫度較高時,聚合較快;冬天氣溫低時,聚合時間會延長。分離膠37℃約10分鐘,25℃約15分鐘,18℃ 約20分鐘可以聚合。
1.2 配制夾層膠:
1.2.1 去除覆蓋在分離膠上的醇,用濾紙將殘留的醇吸去。
1.2.2 按照表一將不同體積的夾層膠組份加入到小燒杯中混合。
1.2.3 加入10%APS和TEMED,立即混勻使溶液混勻。
1.2.4 在玻璃板中灌入適量夾層膠溶液,使液面和短玻璃板上沿之間的距離比梳齒長0.5
cm即可,然后在溶液上輕輕覆蓋一層1-3cm的無水乙醇,使凝膠表面保持平整。注:此溶液為過量,請勿全部注入。
1.2.5 靜置20-30分鐘,待夾層膠和乙醇層之間出現一個清晰的界面表示凝膠已聚合。
注:凝膠的聚合時間與環境溫度有關。夏天溫度較高時,聚合較快;冬天氣溫低時,聚合時間會延長。夾層膠37℃ 20分鐘,25℃ 25分鐘,18℃ 約30分鐘可以聚合。
1.3 配制濃縮膠
1.3.1 去除覆蓋在夾層膠上的乙醇,用濾紙將殘留的醇吸去。
1.3.2 按照表一將不同體積的濃縮膠組份加入到小燒杯中混合。
1.3.3 加入10%APS和TEMED,立即混勻,以使溶液充分混勻。
1.3.4 將梳子插入凝膠內,避免產生氣泡。
1.3.5 靜置20-40分鐘裝待凝膠聚合。注:凝膠的聚合時間與環境溫度有關。夏天溫度較高時,聚合較快;冬天氣溫低時,聚合時間會延長。濃縮膠37℃ 20分鐘,25℃ 30分鐘,18℃ 40分鐘可以聚合。
二. 電泳:
2.1 電泳緩沖液配制:
電泳前,將10×陽極緩沖液(Cat No:AB080)和10×陰極緩沖液(Cat No:CB010)用蒸餾水稀釋成1×緩沖液備用。
2.2 樣品處理:
待上樣的檢測樣品與2×Tricine上樣緩沖液(Cat:TP050)等體積混合,95℃處理5分鐘后上樣。蛋白Marker一般已經含有上樣緩沖液,預染Marker不能加熱處理,混勻后直接上樣,非預染Marker一般需要95℃處理5 min后上樣。
2.3 電泳:
將電泳槽的外槽加入1×陽極緩沖液,內槽加入1×陰極緩沖液,輕柔拔出梳子,將Marker或蛋白樣品加入點樣孔,穩壓電泳(電泳條件參考下表)
|
|
電壓
|
電流變化
|
電泳時間
|
|
濃縮膠
|
恒壓30 V
|
起始電流:~ 15 mA
終止電流:~ 10 mA
|
~40
min
|
|
|
|
注:等待樣品指示前沿到達夾層膠上沿時,調高電壓
|
|
|
夾層膠
|
恒壓80 V
|
起始電流:~ 35 mA
終止電流:~ 30 mA
|
~60
min
|
|
|
|
注:等待樣品指示前沿到達分離膠上沿時,調高電壓
|
|
|
分離膠
|
恒壓120 V
|
起始電流:~ 40 mA
終止電流:~ 20 mA
|
~100
min
|
|
待指示前沿到達分離膠下沿時,即可停止電泳,電泳時間總計約200
min。
注:恒壓條件下,電流不可調節,電流是逐漸降低的,觀察記錄電流數值。
|
三. 凝膠檢測:
3.1 凝膠染色(FastBlue蛋白染色液):
3.1.1將電泳后的PAGE膠取下放入塑料容器中,用適量蒸餾水漂洗,去除膠表面的SDS,殘余SDS會導致染色液出現沉淀。
3.1.2 棄水,加入適量染色液(以剛剛覆蓋過膠面為適),搖床上常溫搖動,根據下表確定染色時間。
|
待檢測蛋白量
|
染色時間
|
|
>1 μg
|
~5分鐘
|
|
100 ng-1
μg
|
~10分鐘
|
|
10 ng-100
ng
|
~60分鐘
|
3. 1.3 搖床上搖動至所有條帶清晰可見。
3.
1.4 蒸餾水搖動漂洗脫色1-2次,每次5-10分鐘,至凝膠背景干凈。
3. 1.5 收集用過的染色液,可以重復使用2-3次。
凝膠也可以使用常規考馬斯亮藍染色液(配方7)和脫色液(配方8)進行染色和觀察。需要注意的是,常規染色和脫色方法需要較長時間,小肽由于長度較短,和凝膠結合不緊密,長時間在溶液中浸泡容易從凝膠中脫離。FastBlue蛋白染色液(貨號:RTD6202)除具有染色快,無毒,靈敏性高等特點外,還能對小肽在染色中起到固定作用,不至于小肽在染色和脫色中從凝膠中脫離,是常規染色液的理想替代品。
3.2 轉膜:
多肽電泳后轉膜選擇孔徑0.22 μm PVDF膜(用前用甲醇處理潤濕)或0.22
μm NC膜。
3.2.1
半干轉:使用伯樂Trans-Blot Turbo半干轉機器請選擇配套的5×RealBlot快速半干轉轉膜緩沖液(貨號:RT5030),推薦轉膜條件:一板小型凝膠(8×10
cm)恒流,1.3 A,10-15 min。
3.2.1
濕轉:濕轉轉膜緩沖液(25 mM Tris,192 mM Glycine, 0.01%SDS,20%
Methanol,pH~8.3),可以選擇10×Tris-甘氨酸轉膜緩沖液(貨號:TB1040)。推薦轉膜條件:恒流200
mA 40-60 min。
四.小分子蛋白質SDS-PAGE電泳試劑配制:
實驗示例: