首頁 > 蛋白生物學 > 蛋白電泳試劑盒 > Tris甘氨酸電泳
非變性凝膠蛋白電泳試劑盒(含預制膠)
Native PAGE Gel Protein Electrophoresis Kit
|
貨號 |
名稱 |
規格 |
|
RTD6135 |
非變性凝膠蛋白電泳試劑盒 |
10次 |
● 產品組成:
|
貨號 |
名稱 |
規格 |
貯存 |
|
RTD6117-0415 |
RealPAGE Tris-Gly預制膠4-15% |
10板 |
4℃ |
|
PL111-01 |
5×非變性非還原蛋白上樣緩沖液 |
1 ml |
-20℃ |
|
TG130P |
5×Tris-甘氨酸電泳緩沖液(粉末型) |
1 L |
RT |
|
RTD6202-02 |
FastBlue蛋白染色液 |
500 ml |
RT |
● 運輸和貯存:
本產品常溫運輸;組份按照標簽溫度貯存;有效期一年。
● 產品簡介:
本公司提供的非變性凝膠蛋白電泳試劑盒包含非變性電泳所需的全部試劑,用戶只需自備蛋白電泳設備。試劑盒配套有預制膠,不需要自己制備凝膠,方便使用。另外,試劑盒提供蛋白上樣緩沖液,電泳緩沖液以及染色液,可以方便完成蛋白樣品從上樣到最后染色的全部過程。
試劑盒配套的預制膠為梯度凝膠,濃度為4-15%,可以有效分離30-1000 kD蛋白。
本試劑盒可以進行10次非變性電泳。配套的預制膠厚度為1.1 mm,12齒,每個泳道可以上樣最大30 μl樣品。
特別說明:由于本系統采用非連續Laemmli凝膠系統(Tris-Glycine系統),電泳凝膠系統pH在8.3-8.8,因此要求待分離的蛋白等電點pI≤8.0(酸性蛋白),這樣蛋白在凝膠系統內帶負電荷,pI越低于8.0,帶更多的負電荷,在凝膠電泳中才能正常向正極泳動。如果待分離的蛋白等電點pI>8.0(堿性蛋白),請選擇堿性電泳凝膠系統分離(貨號RTD6131)。
● 使用說明:
1. 樣品制備:
該試劑盒不含樣品制備的相關試劑,請根據參考文獻自行制備非變性蛋白樣品。
注:非變性樣品制備中注意不用使用任何變性劑如SDS,LDS以及還原型如DTT,BME,TCEP等,以防止蛋白變性。非變性樣品的電泳對鹽離子濃度高度敏感,樣品電泳時盡量把鹽離子濃度控制在100 mM以內,過高的鹽離子濃度導致電泳拖尾,條帶不能有效分離。
2. 電泳:
2.1 拆開預制膠包裝,將預制膠安裝在合適的電泳槽中。
注:伯樂Mini III或Mini-PROTEAN Tetra Cell,天能VE-180,六一24K系列電泳槽請確保密封條的安裝方向(下圖)。
六一其他系列,君意東方JY-SCZ2/4,百晶BG-verMINI等電泳槽可以直接使用預制膠。
不兼容Thermol系列電泳槽。
2.2 準備電泳緩沖液:
將5×Tris-甘氨酸電泳緩沖液(粉末型)溶于1 L超純水中,徹底溶解,測定pH應為8.3-8.5左右,不要調節pH。用前稀釋5倍即配成1×即用型Tris-甘氨酸電泳緩沖液。
2.3準備上樣樣品:
|
總體積 |
10 μl |
|
蛋白樣品 |
x μl |
|
5×非變性非還原蛋白上樣緩沖液 |
2 μl |
|
超純水 |
補至10 μl |
|
|
不要加熱 |
2.4電泳過程;
在電泳槽的內槽內加入1×Tris-甘氨酸電泳緩沖液(讓電泳緩沖液漫過加樣孔),輕輕的撥出梳子,用1ml吸頭沖洗加樣孔3次;隨后在電泳槽外槽加入適量的1×Tris-甘氨酸電泳緩沖液。上樣,電泳。
|
Native-PAGE電泳 |
|||
|
恒電壓 |
起始電流 |
結束電流 |
電泳時間 |
|
150V |
/板膠 |
/板膠 |
min |
|
注:冰浴電泳(可選) |
|||
3. 染色:
3.1 將電泳后的PAGE膠取下放入塑料容器中,加入適量FastBlue蛋白染色液(以剛剛覆蓋過膠面為適),搖床常溫搖動,條帶5-10分鐘即可見(蛋白含量高于1 μg條帶)。
3.2 搖床常溫繼續搖動15-30分鐘至條帶清晰可見。
3.3 加入適量蒸餾水脫色,期間更換1-2次蒸餾水,搖床常溫搖動10-15分鐘至背景干凈。
3.4 觀察保存結果。
4. 轉膜:
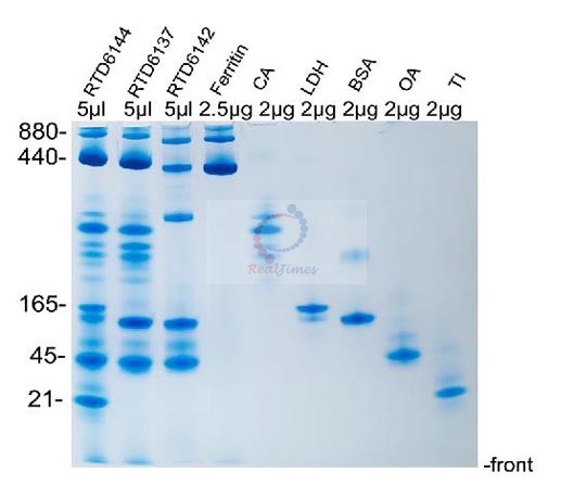
5. 實驗示例:

RTD6117-0415 4-15% RealPAGE Precast Gel
150V 35-11mA 67min
1×Tris-甘氨酸電泳緩沖液
FastBlue蛋白快速染色染色15分鐘
引用RTD6135 非變性凝膠蛋白電泳試劑盒(含預制膠RTD6117-0415)發表文章
1. [2025 IF=8.1] The OsFBX388-OsFIP1-OsCatA module regulates ROS homeostasis and disease resistance in rice.
Product: RTD6135 非變性凝膠蛋白電泳試劑盒(含預制膠)
Author: Tiancheng Qiu, Yixin Li, Qingyuan Bai, Yapu Cheng, Kexing Fang, Yayan Feng, Mengni Yang, Vijai Bhadauria, You-Liang Peng,Wensheng Zhao
Journal: New Phytologist (2025) Accepted: 23 June 2025
Institution:China Agricultural University
Paper link:doi: 10.1111/nph.70383

|
|
