明膠酶譜分析試劑盒
Gelatin Zymography Analysis Kit Ver.710278
|
貨號
|
名稱
|
規格
|
|
RTD6143
|
明膠酶譜分析試劑盒
|
50次
|
● 產品組成:
|
貨號
|
名稱
|
規格
|
保存
|
|
RTD6143-01
|
4%濃縮膠聚合溶液A(2×)
|
40 ml
|
4℃
|
|
RTD6143-02
|
4%彩色濃縮膠溶液B(2×)
|
40 ml
|
4℃
|
|
RTD6143-03
|
10%分離膠聚合溶液A(2.5×)
|
100 ml
|
4℃
|
|
RTD6143-04
|
10%分離膠膠溶液B(2×)
|
125 ml
|
4℃
|
|
RTD6143-05
|
10×明膠底物
|
30 ml
|
RT (配制后-20℃)
|
|
RTD6143-06
|
10×復性緩沖液
|
250 ml
|
4℃
|
|
RTD6143-07
|
10×孵育緩沖液
|
500 ml
|
4℃
|
|
RTD6143-08
|
膠原酶陽性對照
|
0.5 ml
|
-20℃
|
|
RTD6202
|
FastBlue蛋白染色液
|
500 ml
|
RT
|
|
PL112
|
5×蛋白上樣緩沖液 (變性,非還原)
|
1 ml
|
-20℃
|
|
TG120P
|
5×Tris-甘氨酸-SDS電泳緩沖液(干粉)
|
1 L
|
RT
|
|
AP020P
|
APS(干粉)
|
0.5 g
|
RT (配制后-20℃)
|
|
TA0761
|
TEMED
|
0.5 ml
|
4℃,避光
|
|
|
說明書
|
一份
|
|
● 產品簡介:
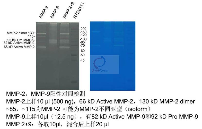
基質金屬蛋白酶(matrix metalloproteinase, MMP)是一種鋅依賴性酶,能切割細胞外基質成分,能在一定條件下水解明膠。細胞內的MMP以無活性的酶原形式分泌,活化后能夠降解細胞外基質的膠原蛋白,通過影響細胞外基質,參與胚胎發育、形態發生、組織重塑等過程,并參與炎癥、腫瘤、心血管、神經等許多疾病過程。血漿與組織中的MMP-2、MMP-9參與各種生理與病理過程,其在臨床診斷和治療中的意義日益受到重視。
本試劑盒采用酶譜法(Zymography)檢測MMP-2、MMP-9 活性,其基本原理和程序是:制備含有膠原酶底物明膠的SDS-PAGE 凝膠,含蛋白酶的樣品在此凝膠中進行電泳,電泳時,SDS與樣本中的MMP可逆性結合,導致MMP氫鍵和疏水鍵被破壞而不能發揮分解明膠的作用。電泳結束后取出凝膠與孵育溶液孵育,MMP恢復活性,在其遷移位置水解凝膠中的明膠,考馬斯亮藍染色后凝膠中由于含底物蛋白而被深染,形成深色背景,但在有蛋白酶條帶的位置,蛋白酶將降解凝膠中的底物蛋白,因而不被染色而形成透亮白色區域,從而能同時指示MMP-2、MMP-9 的大小位置(酶譜)及活性,其強弱與MMP活性呈正比。
本試劑盒提供明膠酶譜分析的全套試劑,試劑盒可進行50 次標準膠(8×10 cm)檢測,如果小膠加樣孔為10~15個,則總計可檢測500~750 個樣品。試劑盒配套有膠原酶陽性對照,可以有效分解明膠,方便判斷凝膠及電泳體系是否有問題。
● 貯存及運輸:
按照試劑盒標簽貯存;常溫運輸;開封后試劑盒有效期一年。
● 使用說明:
1. 10% APS配制-5 ml:
將0.5 gAPS干粉溶于5 ml滅菌水中,徹底溶解后分裝,1 ml/支,-20℃備存,每次取一管使用。10% APS應盡量減少室溫存放時間,以防失效。10%APS在4℃有效期為一周,-20℃有效期6個月。若發現凝膠聚合時間延長,應考慮更換使用-20度保存的10%APS。
2. 10×明膠底物配制:
明膠粉末加入30 ml滅菌水,60℃水浴中徹底融化,冷卻至常溫后使用。明膠底物配制后-20℃貯存。
一 分離膠制備:
1.1參照凝膠模具說明書,裝配好凝膠模具。
1.2按照表格將不同體積的成分在小燒杯中混合;最后加入10%APS和TEMED,輕輕攪拌使其混勻,避免產生氣泡。
|
|
|
10%分離膠
|
4%濃縮膠
|
|
|
|
5 ml
|
1.6 ml
|
|
加入順序
|
組份
|
1.0 mm厚度凝膠
|
|
1
|
10%分離膠聚合溶液A(2.5×)
|
2.0
ml
|
-
|
|
2
|
10%分離膠膠溶液B(2×)
|
2.5
ml
|
-
|
|
3
|
10×明膠底物
|
0.5
ml
|
-
|
|
4
|
4%濃縮膠聚合溶液A(2×)
|
-
|
0.8
ml
|
|
5
|
4%彩色濃縮膠溶液B(2×)
|
-
|
0.8
ml
|
|
6
|
10% APS
|
50
μl
|
16
μl
|
|
7
|
TEMED
|
5
μl
|
1.6
μl
|
1.3在凝膠模具中灌入適量分離膠溶液(對于mini-gel,凝膠液加至約距前玻璃板頂端1.5 cm或距梳齒約0.5 cm即可),然后在分離膠溶液上輕輕覆蓋一層無水乙醇,使凝膠表面保持平整。
1.4靜置5-10分鐘,待分離膠和乙醇層之間出現一個清晰的界面后,說明凝膠已聚合
二 濃縮膠制備:
2.1去除覆蓋在分離膠上的乙醇層。
2.2按照表格將不同體積成分在一個小燒杯中混合;最后加入10%過硫酸銨和TEMED,輕輕攪拌使其混勻,避免產生氣泡。
2.3將濃縮膠溶液加至分離膠的上面,直至凝膠溶液到達前玻璃板的頂端。
2.4將梳子插入凝膠內,避免產生氣泡。
2.5靜置30-60分鐘,等待濃縮膠聚合(25℃
標準凝固時間為50分鐘)。
注:凝膠的聚合時間與環境溫度有關。夏天溫度較高時,聚合較快;冬天氣溫低時,聚合時間會延長。可以根據表格標準條件調節催化劑的加入量。
三 電泳:
3.1 5×Tris-甘氨酸-SDS電泳緩沖液的配制:
將一包干粉全部倒入1L燒杯中,加入約900 ml水徹底溶解,用水定容至1 L(此溶液不用調節pH值,pH 8.3-8.5)。電泳前將緩沖液稀釋5倍即配成1×Tris-甘氨酸-SDS電泳緩沖液。
3.2 樣品處理:融化-混合-上樣
3.2.1 將5×蛋白上樣緩沖液(變性,非還原)常溫融化后混勻。
3.2.2 將上樣緩沖液與蛋白樣品按照1:4的比例混勻。
注:由于MMP活性需要二價陽離子,蛋白樣品中避免使用EDTA、EGTA等二價陽離子鰲和劑以及巰基乙醇和DTT等。
蛋白樣品提取可以選擇RL0120F RIPA裂解液(強,不含抑制劑,不含螯合劑)
3.2.3 快甩離心收集到管底,常溫放置5-10分鐘,不要加熱處理樣品,上樣電泳。
膠原酶陽性對照同時上樣5-10 μl。
3.3 電泳:
在電泳槽的內槽加入1×電泳緩沖液,輕輕撥出梳子,沖洗加樣孔,隨后在電泳槽外槽加入適量的1×電泳緩沖液。上樣,恒電壓150 V電泳。
電泳條件(一板膠)
|
恒電壓
|
起始電流
|
終止電流
|
電泳時間
|
可選
|
|
150V
|
30-40mA
|
8-15mA
|
50 min+
|
冰浴電泳
|
四 MMP檢測:
4.1 漂洗:
取出凝膠,放入容器內,加入50 ml蒸餾水漂洗凝膠,搖床慢搖5分鐘,重復一次。
4.2 復性:
4.2.1
1×復性緩沖液配制:
將10×復性緩沖液用蒸餾水稀釋10倍,如10 ml 10×復性緩沖液加90 ml蒸餾水。
注:如10×復性緩沖液由于低溫貯存有析出時,37℃徹底溶化后再使用。
4.2.2 復性:
取出凝膠,棄蒸餾水,加入50 ml 1×復性緩沖液,搖床慢搖30分鐘。
注:復性結束后,凝膠呈乳白半透明狀。
4.3 孵育:
4.3.1 1×孵育緩沖液配制:
將10×孵育緩沖液用蒸餾水稀釋10倍,如10 ml 10×孵育緩沖液加90 ml蒸餾水。
4.3.2 孵育:
倒掉1×復性緩沖液,加入50 ml 1×孵育緩沖,37℃
搖床慢搖10分鐘;
棄1×孵育緩沖液,加入 50 ml 1×孵育緩沖,37℃ 搖床慢搖4小時-過夜孵育。
注:陽性對照-膠原酶IV通常37℃孵育3-4小時即可消化凝膠中的明膠。如樣品中MMP 活性低,應延長孵育時間至過夜。
4.4 顯色:
4.4.1 漂洗:倒掉孵育液,凝膠中加入50 ml蒸餾水,搖床慢搖5分鐘,重復一次。
4.4.2 棄蒸餾水,加入50 ml FastBlue染色液(以剛剛覆蓋過膠面為適),搖床上常溫搖動30分鐘-2小時,凝膠大部分區域被深染,在有MMP 條帶的位置不被染色而形成透亮區域;蒸餾水漂洗2-3次,每次5-10分鐘。
4.5 拍照:
由于考馬斯亮藍染色,凝膠背景為藍色,自然光下拍照效果不好。建議使用凝膠觀察透射燈(貨號:RT3820)底部打光拍照。
五 實驗示例:

10%分離膠(含明膠底物)
電泳條件:1×TGS
150V 36-12mA 90 min
實驗步驟:
漂洗:蒸餾水漂洗兩次;
復性:50 ml 1×復性緩沖液常溫復性30分鐘;
孵育:50
ml 1×孵育緩沖液37度孵育10分鐘;
50
ml 1×孵育緩沖液37度孵育15小時;
漂洗:蒸餾水漂洗兩次;
染色:FastBlue染色60分鐘。
實驗結果:膠原酶消化明膠底物,在70-130 kD區間產生明亮條帶。
明膠酶譜分析試劑盒(10篇)
使用該產品發表部分文章列表:
1. [2021 IF=3.5] Salidroside
protects against ventilation-induced lung injury by inhibiting the expression
of matrix metalloproteinase-9.
Author: Hui
Zhang, Wenwen Dong, Siyuan Li, Yunqian Zhang, Zhou Lv, Lu Yang, Lai Jiang, Tao
Wu & Yan Wang.
Journal: Pharmaceutical
Biology. 2021, VOL. 59, NO. 1, 760–768
Institution: Xinhua
Hospital, Shanghai Jiaotong University School of Medicine
Paper link:https://doi.org/10.1080/13880209.2021.1967409
2. [2021 IF=2.73] Synovial
mesenchymal stem cell-derived extracellular vesicles alleviate chondrocyte
damage during osteoarthritis through microRNA-130b-3p-mediated inhibition of
the LRP12/AKT/β-catenin axis.
Author: Zhenhua
Zeng, Yi Dai, Shuo Deng, Sanbao Zou, Tingyang Dou & Feng Wei.
Journal: Immunopharmacology
and Immunotoxicology. Published in 2022
Institution: Department
of Pain, the First People's Hospital of Jiashan County, Jiaxing
Paper link:https://www.tandfonline.com/doi/full/10.1080/08923973.2022.2038192
3. [2021 IF=4.5] CXCL13
as a Novel Immune Checkpoint for Regulatory B Cells and Its Role in Tumor
Metastasis.
Author: Jun
Ren, Tianxia Lan, Ting Liu, Yu Liu, Bin Shao, Ke Men, Yu Ma, Xiao Liang,Yu-quan
Wei, Min Luo, and Xia-wei Wei
Journal: The Journal
of Immunology Published April 18, 2022
Institution: West China Second Hospital, Sichuan
University
Paper link: http://www.jimmunol.org/cgi/doi/10.4049/jimmunol.2100341
4. [2021 IF=5.075] Protective
Effects of Epigallocatechin-3-gallate (EGCG) against the Jelly?sh Nemopilema
nomurai Envenoming.
Author: Jie Li, Qianqian Wang, Shuaijun Zou, Juxingsi Song, Peipei
Zhang, Fan Wang, Yichao Huang , Qian He , and Liming Zhang
Journal: Toxins 2023, 15, 283
Institution: Naval Medical University
Paper link:https://doi.org/10.3390/toxins15040283
5. [2021 IF=4.1] ADAMDEC1 induces
EMT and promotes colorectal cancer cells metastasis
by enhancing Wnt/β-catenin signaling via negative modulation of
GSK-3β.
Author: Yuna Jia, Xiaoyong Huang, Haiyan Shi, MingMing Wang, Jie Chen,
Huahua Zhang, Danyang Hou , Hongmei Jing, Juan Du, Huihui Han, Jing Zhang
Journal: Experimental Cell Research 429 (2023) 113629
Institution:Department of Obstetrics, Affiliated
Hospital of Yan’an University
Paper link: https://doi.org/10.1016/j.yexcr.2023.113629
6. [2021 IF=8.0] Extracellular
Vesicles Maintain Blood-Brain Barrier Integrity by the Suppression of Caveolin-1/CD147/VEGFR2/MMP
Pathway After Ischemic Stroke.
Author: Yiyang Li, Jiali Chen, Xingping Quan, Ying Chen, Yan Han, Jinfen
Chen, Li Yang, Youhua Xu, Xu Shen, Ruibing Wang, Yonghua Zhao
Journal: International Journal of Nanomedicine 2024:19 1451–1467
Institution:University of Macau
Paper link: https://pubmed.ncbi.nlm.nih.gov/38371456/
7. [2022 IF=9.7] Direct contact
between tumor cells and platelets initiates a FAK-dependent F3/TGF-β positive
feedback loop that promotes tumor progression and EMT in osteosarcoma.
Author: Qianyu Shi, Jiuhui Xu, Chenglong Chen, Xueyu Hu, Boyang Wang,
Fanwei Zeng, Tingting Ren , Yi Huang, Wei Guo, Xiaodong Tang, Tao Ji
Journal: Cancer Letters 591 (2024) 216902
Institution:Department of Musculoskeletal Tumor,
Peking University People’s Hospital
Paper link: https://doi.org/10.1016/j.canlet.2024.216902
8. [2022 IF=4.6] Crocin’s role in
modulating MMP2/TIMP1 and mitigating hypoxia?induced pulmonary hypertension in mice.
Author: Jing Deng, Rui?Qi Wei, Wen?Mei Zhang,
Chang?Yu Shi, Rui Yang, Ming Jin,Chunmei Piao
Journal: Scientifc Reports (2024) 14:12716
Institution:Beijing Anzhen Hospital Afliated to the
Capital Medical University
Paper link: https://doi.org/10.1038/s41598-024-62900-8
9. [2023 IF=20.5] Gut–liver translocation of
pathogen Klebsiella pneumoniae promotes hepatocellular carcinoma in mice
Author: Xueliang Wang, Yi Fang, Wei
Liang, Yuhong Cai, Chi Chun Wong, Junlin Wang, Na Wang
, Harry Cheuk-Hay Lau , Ying Jiao, Xingyu Zhou, Liufang Ye,
Mengmiao Mo, Tao Yang, Miao Fan, Lei Song, Heming Zhou , Qiang Zhao, Eagle Siu-Hong Chu,
Meinong Liang, Weixin Liu, Xin Liu, Shuaiyin Zhang, Haitao Shang, Hong Wei,
Xiaoxing Li, Lixia Xu, Bing Liao, Joseph J. Y. Sung, Ming Kuang,Jun Yu.
Journal: Nature Microbiology,Volume 10,January 2025,169–184
Institution:Shenzhen Research Institute, The Chinese
University of Hong Kong, Hong Kong
Paper link: https://www.nature.com/articles/s41564-024-01890-9
10. [2023 IF=5.2] Functional study of Bergeyella
cardium KP-43 subfamily peptidases as putative T9SS cargo.
Author: Tian Li, Yiwen Gao, Xiaoyue Zhang, Yuxiao Zhao,FuyaoHu,WeiLi, Lixiang Li,Hongwei
Pan,YiZhang, Ying Chen
Journal: Communications Biology (2025)8:586
Institution:Qilu Hospital of Shandong University
Paper link: https://doi.org/10.1038/s42003-025-07996-y