單鏈DNA Marker(20-75 nt)預混型
|
貨號
|
名稱
|
規格
|
|
RTM501
|
單鏈DNA Marker(20-75 nt)預混型
|
25次
|
● 產品編號及規格:
|
貨號
|
名稱
|
規格
|
貯存
|
|
RTM501-01
|
單鏈DNA Marker(20-75 nt)預混型
|
25次(125 μl)
|
-20℃
|
|
DL080-01
|
2×TBE尿素上樣緩沖液
|
1 ml
|
4℃或-20℃
|
● 產品簡介:
單鏈DNA Marker由不同長度的單鏈DNA分子混合而成,7條帶的大小為20,25,30,35,40,
50,75
nt。35
nt 濃度約為100
ng/μl,其余條帶濃度約為50
ng/μl。該產品已經含有上樣緩沖液,使用前70度處理5分鐘后可以直接上樣。該Marker適用于跑尿素變性膠,電泳后使用單鏈DNA
PAGE電泳染色試劑盒(Cat:RTS5103),核酸PAGE電泳染色試劑盒(Cat:RTS5102),核酸快速高靈敏度染色試劑盒(Cat:RTS5101)或核酸染料如RealSafe
Red(貨號:GR002)或RealSafe
All(貨號:GR004)均可以得到清晰的條帶分離效果。
產品內附帶2×TBE尿素上樣緩沖液(Cat:DL080-01),方便待檢樣品的上樣。以每次上樣5 μl計算,該產品可以使用大約25次。
● 保存條件和運輸:
-20℃貯存;有效期2年;濕冰運輸。
● 使用方法:
注:以下使用方法均以8×10cm凝膠 厚1.0mm示例,其他規格凝膠請適當調整。
一. 凝膠制備:
1.1 可以選擇DNA尿素PAGE電泳試劑盒(Cat:RTE4102))或按照以下程序制膠:
表一 TBE-尿素PAGE分離膠配方表 (總體積5 ml,適用于厚度1.0 mm小板膠)
|
單鏈DNA長度
|
最佳凝膠濃度
|
尿素(克)
|
40%PAA
(29:1)
|
10×TBE
|
補水到總體積
|
10%APS
|
TEMED
|
|
200-1000 nt
|
5%
|
2.1克
|
0.625 ml
|
0.5 ml
|
5 ml
|
50 μl
|
5 μl
|
|
50-400 nt
|
8%
|
2.1克
|
1 ml
|
0.5
ml
|
5 ml
|
50 μl
|
5 μl
|
|
30-300 nt
|
10%
|
2.1克
|
1.25 ml
|
0.5
ml
|
5 ml
|
50 μl
|
5 μl
|
|
10-150 nt
|
15%
|
2.1克
|
1.875 ml
|
0.5
ml
|
5 ml
|
50 μl
|
5 μl
|
|
5-120 nt
|
20%
|
2.1克
|
2.5 ml
|
0.5
ml
|
5 ml
|
50 μl
|
5 μl
|
1.2在凝膠模具中灌入適量分離膠溶液(對于mini-gel,凝膠液加至約距前玻璃板頂端1.5 cm或距梳齒約0.5 cm即可),然后在分離膠溶液上輕輕覆蓋一層1-5 cm的水層,使凝膠表面保持平整。
1.3靜置10-20分鐘,待分離膠和水層之間出現一個清晰的界面后,說明凝膠已聚合。
注:凝膠的聚合時間與環境溫度有關。夏天溫度較高時,聚合較快;冬天氣溫低時,聚合時間會延長??梢愿鶕h境溫度的不同調節APS的加入量。
1.4去除覆蓋在分離膠上的水層;按照表二將不同體積成分在一個小燒杯中混合;最后加入10%過硫酸銨和TEMED,輕輕攪拌使其混勻,避免產生氣泡。
表二 TBE-尿素PAGE 4%濃縮配方表 (總體積2 ml,適用于1.0mm厚度膠)
|
|
各組份體積(ml)
|
|
凝膠濃度
|
尿素
|
40%PAA(29:1)
|
10×TBE
|
滅菌水
|
10%APS
|
TEMED
|
|
4%
|
0.84克
|
0.2 ml
|
0.2 ml
|
補水至體積2 ml
|
20 μl
|
2 μl
|
1.5將濃縮膠溶液加至分離膠的上面,直至凝膠溶液到達前玻璃板的頂端;將梳子插入凝膠內,避免產生氣泡。
1.6靜置30-60分鐘,等待濃縮膠聚合。
注:凝膠的聚合時間與環境溫度有關。夏天溫度較高時,聚合較快;冬天氣溫低時,聚合時間會延長。可以根據環境溫度的不同調節APS的加入量。
二. 樣品制備:
2.1
取適量體積單鏈DNA
Marker樣品(不用添加上樣緩沖液);待測樣品與等體積的2×TBE尿素上樣緩沖液(Cat:DL080-01)混合,70℃處理5分鐘,冰浴制冷后待上樣。
三.電泳:
3.1. 預電泳(可選):電泳槽內外加入適量1×TBE緩沖液穩壓200V預電泳30分鐘。電泳結束后,用1×TBE緩沖液徹底沖洗加樣孔2-3次,去除殘余的尿素。
3.2.上樣:根據梳齒確定Marker上樣量, 一般是10齒1mm厚梳子上樣5
μl,15齒1mm厚梳子上樣3
μl。
3.3. 連接電源線,打開電源開關,按照以下條件電泳。
|
|
恒電壓
|
起始電流
|
結束電流
|
電泳時間
|
適用條件
|
|
推薦電壓
|
200 V
|
15-20 mA/板膠
|
10-15 mA/板膠
|
60+ min
|
最佳電壓,最優的分辨率
|
3.4. 等待上樣緩沖液的溴酚藍指示前沿到凝膠底部時終止電泳,取出凝膠進行后續實驗。
|
變性膠濃度
|
溴酚藍
|
二甲苯菁
|
|
5%
|
35 nt
|
130 nt
|
|
8%
|
19 nt
|
75 nt
|
|
10%
|
15 nt
|
55 nt
|
|
15%
|
10 nt
|
52 nt
|
|
20%
|
8 nt
|
35 nt
|
四.染色:
用單鏈DNA PAGE電泳染色試劑盒(Cat:RTS5103),核酸PAGE電泳染色試劑盒(Cat:RTS5102)或核酸快速高靈敏度染色試劑盒(Cat:RTS5101)染色均可以得到清晰的條帶分離效果。注:如果使用核酸染料染色,RealSafe Red(貨號:GR002)或RealSafe All(貨號:GR004)核酸染料結合單鏈核酸效果最佳,強烈建議使用以便獲得最佳效果的膠圖。其余染料如GelRed,Goldview,EB等染色效果不好。
● 注意事項:
1. 單鏈DNA Marker產品適用于變性PAGE垂直電泳,不適用于水平瓊脂糖凝膠電泳。
● 電泳示例:
1. 使用單鏈DNA PAGE電泳染色試劑盒(貨號:RTS5103)染色:
2. 使用核酸PAGE電泳染色試劑盒(貨號:RTS5102)染色:
3. 使用RealSafe Red核酸染料(貨號:GR002)染色:
4. 使用核酸快速高靈敏度染色試劑盒(貨號:RTS5101)染色:

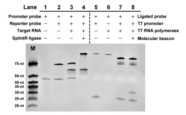
使用RTM501 單鏈DNA
Marker(20-75 nt)發表部分文章列表:
1. [2021 IF=3.532] Real-time detection of
SARS-CoV-2 in clinical samples via ultrafast ligation-dependent RNA transcription
amplification
Marker :RTM501,單鏈DNA Marker(20-75
nt)
Author: Peng
Zhang, Yang Li, Dongmei Zhang, Xinghao Zhu, Jinling Guo, Cuiping Ma and Chao
Shi
Journal: Analytical Methods 2023,
15,1915
Institution: Qingdao University
Paper
link:https://pubs.rsc.org/en/content/articlelanding/2023/AY/D3AY00093A